鼻内窥镜下钩突切除术

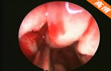
该手术用带有复方肾上腺素的棉片收缩鼻腔黏膜 ,用反向咬钳咬除勾突的下缘,剥离子和吸引器切开勾突的上半部分 ,剪刀剪掉未分离的勾突 ,抓钳取出分离后的勾突 ,中鼻道填塞棉片止血 。


关键词: 窥镜 下钩突切除术 鼻腔

主讲人:主任医师 吴文灿 机构:温州医科大学附属眼视光医院

时长:0:04:41 年代:2013年