白内障囊外摘除术-小切口
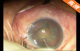
该手术做巩膜隧道切口及侧切口,角膜上方距角膜缘2mm处,一次性隧道刀做反眉弓形巩膜隧道外口,切口跨度5mm,深约1/2到2/3巩膜厚度,沿眼球弧度前行,隧道内口在透明角膜内2mm,切口跨度4mm,在9点钟方位使用一次性15度穿刺刀做侧切口; 前房注入医用透明质酸钠凝胶; 一次性3.0mm穿刺刀在巩膜隧道切口内口穿刺进入前房,内口线形,长6mm; 连续环形撕囊,囊口直径5.5mm;水分离晶体囊膜和皮质; 将晶体核旋转至前房; 娩核:注水圈套器将核套出; 注吸器吸除皮质; 前房及囊袋内注入医用透明质酸钠凝胶;植入折叠人工晶体; 吸除医用透明质酸钠凝胶。
主讲人:副主任医师 徐栩 机构:温州医科大学附属眼视光医院
时长:0:05:24 年代:2013年
热点排行
- 1 英语学习策略(1)
- 2 《图书馆与信息服务营销》先导片
- 3 古兽重现
- 4 Excel实战技巧精粹
- 5 在路上
- 6 恐龙绝灭与生态危机(1)
- 7 生物医学图像处理——绪言(1)
- 8 28号的青春


京公网安备11010802020237号 |