熊猫“小明”复明记

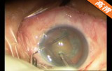
一只野生大熊猫全身伤病,还有继发的致命肾炎。在好心人和兽医的帮助下,终于死里逃生。可是祸不单行,经过检查发现大熊猫竟然患有严重白内障,这竟然是一只眼睛看不见的盲熊猫。工作人员给它起名“小明”,希望它能早日复明,同时向社会求助,寻找能给小明做手术的医生。一个给人做了3万多例白内障手术的医生,决定尝试给小明做手术。本片探秘大熊猫小明离奇的复明之旅。


关键词: 熊猫 珍稀野生动物 白内障 陕西

主持人:张腾岳 嘉宾:陕西省珍稀野生动物抢救饲养研究中心兽医院院长 马清义

时长:0:28:20 年代:2011年